目の下(クマ、たるみ)
俗に言う「くま」の原因は以下の3つが単独もしくは複合的な原因で起こります。
- 凹凸の陰影によるクマ
<眼窩脂肪の突出>

目の下には眼窩脂肪という脂肪が存在します。この脂肪は眼球を守るように骨と眼球の間に存在します。その眼窩脂肪は眼窩隔膜という膜に包まれ、皮下脂肪などとは隔離されています。

この眼窩脂肪は加齢による眼輪筋の弛緩や頬部の骨の角度などにより前方にずれてきます。このずれによる移動が目の下へ突出し膨らむ事がこのクマとなる原因です。そのため目の下に突出する事で今まで無かった凹凸が出来ます。この凹凸により出来た陰影がクマとなるのです。この症状が一番多いと思われます。
このクマの治療には眼窩脂肪をとる施術が必要となります。
治療法
経結膜脱脂法、成長因子注入(軽度なら)、脂肪注入

- 皮膚の色素によるクマ
<褐色の皮膚>
- 皮膚にはシミの原因となるメラニンが存在します。しかし、目の下の薄い皮膚にはメラニンは通常少量しか含まれていません。その反面、目の下の皮膚は非常に薄いため小じわになりやすい性質を持っています。
メラニンを少量しか含んでいない皮膚でも小ジワなどにより集積すると皮膚の色は濃く見えるようになり目の下が黒ずんで見えるのです。このクマの正体がこれなのです。
よって治療には色素を薄める治療が必要です。
治療法
ラクトピール
- 眼輪筋の透過によるクマ
<青く見える>
- 通常の皮膚は表皮の下に真皮そして脂肪層という構造をしています。
しかし、目の下は薄い皮膚の下に直接、眼輪筋が裏打ちしている構造になっています。そのため皮膚の薄い人で血行が悪い人は眼輪筋が透けて見えやすくなっています。眼輪筋などの筋肉は血液が豊富で血行が滞ってしまうと静脈血(手などの血管の色)をしているため、透けて見えてしまうと、その部分が青っぽく見えてしまうのです。
そのため治療としては血行を良くするか皮膚を厚くするすろようにコラーゲンを増殖させる治療が必要となります。
治療法
マイクロインジェクションによるグロスファクター注入
経結膜脱脂法
目(眼)の下の内側の粘膜(結膜側)からレーザーメス(炭酸ガスレーザー)を使って切開をし脂肪の塊をとる
という施術です。
進入経路から分かるように皮膚を切らない目の下の脱脂術(目の下の脂肪取り)です。
皮下脂肪を取るのではなく眼窩脂肪のみを取るので変な陥凹など現れません。
また眼窩脂肪は無理に全部取ったりしません。
そうする事で自然な目元になります。
皮膚を切るのではないため腫れも少なく皮膚表面には傷が出来ません。
注射の麻酔は二種類の点眼麻酔を使ってから行います。つまり弱い麻酔を重ねてから行います。
また手術中は目を閉じたままなので見えることはないです。
なのでこの経結膜脱脂手術(結膜下脱脂手術)は非常に受けやすい手術だと思います。
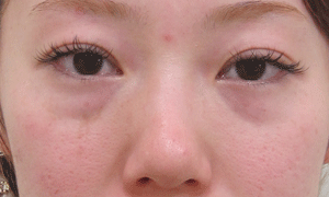
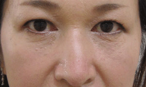
結膜脱脂とグロスファクター注射の症例
前と後の比較
施術名:結膜脱脂+GF成長因子注射
施術の説明:突出した下部眼窩脂肪を切除+皮膚のコラーゲンを増殖させる。
施術の副作用(リスク):過形成もしくは変化不全、内出血、発赤、熱感、痒み、痛み、だるさ、乾燥、発熱、施術箇所の違和感、異物感、鈍さ、しびれ、ひきつれ、凹凸、色素沈着など。
施術の価格:380,000円

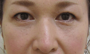
結膜脱脂とグロスファクター注射の症例
前と後の比較
施術名:結膜脱脂+GF成長因子注射
施術の説明:突出した下部眼窩脂肪を切除+皮膚のコラーゲンを増殖させる。
施術の副作用(リスク):過形成もしくは変化不全、内出血、発赤、熱感、痒み、痛み、だるさ、乾燥、発熱、施術箇所の違和感、異物感、鈍さ、しびれ、ひきつれ、凹凸、色素沈着など。
施術の価格:380,000円
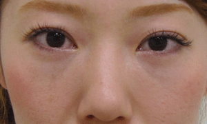
結膜脱脂とグロスファクター注射の症例
前と後の比較
施術名:結膜脱脂+GF成長因子注射
施術の説明:突出した下部眼窩脂肪を切除+皮膚のコラーゲンを増殖させる。
施術の副作用(リスク):過形成もしくは変化不全、内出血、発赤、熱感、痒み、痛み、だるさ、乾燥、発熱、施術箇所の違和感、異物感、鈍さ、しびれ、ひきつれ、凹凸、色素沈着など。
施術の価格:380,000円
結膜脱脂とグロスファクター注射の症例【男性】
前と後の比較
施術名:結膜脱脂+GF成長因子注射
施術の説明:突出した下部眼窩脂肪を切除+皮膚のコラーゲンを増殖させる。
施術の副作用(リスク):過形成もしくは変化不全、内出血、発赤、熱感、痒み、痛み、だるさ、乾燥、発熱、施術箇所の違和感、異物感、鈍さ、しびれ、ひきつれ、凹凸、色素沈着など。
施術の価格:380,000円
目の下のたるみ、目の下のくま症例写真1
施術名:結膜脱脂+GF成長因子注射
施術の説明:突出した下部眼窩脂肪を切除+皮膚のコラーゲンを増殖させる。
施術の副作用(リスク):過形成もしくは変化不全、内出血、発赤、熱感、痒み、痛み、だるさ、乾燥、発熱、施術箇所の違和感、異物感、鈍さ、しびれ、ひきつれ、凹凸、色素沈着など。
施術の価格:380,000円
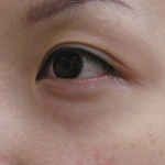
目の下のたるみ、目の下のクマの症例写真2
同じ方の左右の目元のアップ:一週間
施術名:結膜脱脂+GF成長因子注射
施術の説明:突出した下部眼窩脂肪を切除+皮膚のコラーゲンを増殖させる。
施術の副作用(リスク):過形成もしくは変化不全、内出血、発赤、熱感、痒み、痛み、だるさ、乾燥、発熱、施術箇所の違和感、異物感、鈍さ、しびれ、ひきつれ、凹凸、色素沈着など。
施術の価格:380,000円
目の下のたるみ、目の下のクマの症例写真3
施術名:結膜脱脂+GF成長因子注射
施術の説明:突出した下部眼窩脂肪を切除+皮膚のコラーゲンを増殖させる。
施術の副作用(リスク):過形成もしくは変化不全、内出血、発赤、熱感、痒み、痛み、だるさ、乾燥、発熱、施術箇所の違和感、異物感、鈍さ、しびれ、ひきつれ、凹凸、色素沈着など。
施術の価格:380,000円
目の下のたるみ、目の下のクマの症例写真4
施術名:結膜脱脂+GF成長因子注射
施術の説明:突出した下部眼窩脂肪を切除+皮膚のコラーゲンを増殖させる。
施術の副作用(リスク):過形成もしくは変化不全、内出血、発赤、熱感、痒み、痛み、だるさ、乾燥、発熱、施術箇所の違和感、異物感、鈍さ、しびれ、ひきつれ、凹凸、色素沈着など。
施術の価格:380,000円
目の下のたるみ、目の下のクマの症例写真5
施術名:結膜脱脂+GF成長因子注射
施術の説明:突出した下部眼窩脂肪を切除+皮膚のコラーゲンを増殖させる。
施術の副作用(リスク):過形成もしくは変化不全、内出血、発赤、熱感、痒み、痛み、だるさ、乾燥、発熱、施術箇所の違和感、異物感、鈍さ、しびれ、ひきつれ、凹凸、色素沈着など。
施術の価格:380,000円
目の下のたるみ、目の下のクマの症例写真6
施術名:結膜脱脂+GF成長因子注射
施術の説明:突出した下部眼窩脂肪を切除+皮膚のコラーゲンを増殖させる。
施術の副作用(リスク):過形成もしくは変化不全、内出血、発赤、熱感、痒み、痛み、だるさ、乾燥、発熱、施術箇所の違和感、異物感、鈍さ、しびれ、ひきつれ、凹凸、色素沈着など。
施術の価格:380,000円
目の下のたるみ、目の下のクマの症例写真7
施術名:結膜脱脂+GF成長因子注射
施術の説明:突出した下部眼窩脂肪を切除+皮膚のコラーゲンを増殖させる。
施術の副作用(リスク):過形成もしくは変化不全、内出血、発赤、熱感、痒み、痛み、だるさ、乾燥、発熱、施術箇所の違和感、異物感、鈍さ、しびれ、ひきつれ、凹凸、色素沈着など。
施術の価格:380,000円
目の下のたるみ、目の下のクマの症例写真8
施術名:結膜脱脂+GF成長因子注射
施術の説明:突出した下部眼窩脂肪を切除+皮膚のコラーゲンを増殖させる。
施術の副作用(リスク):過形成もしくは変化不全、内出血、発赤、熱感、痒み、痛み、だるさ、乾燥、発熱、施術箇所の違和感、異物感、鈍さ、しびれ、ひきつれ、凹凸、色素沈着など。
施術の価格:380,000円
目の下のたるみ、目の下のクマの症例写真9
施術名:結膜脱脂+GF成長因子注射
施術の説明:突出した下部眼窩脂肪を切除+皮膚のコラーゲンを増殖させる。
施術の副作用(リスク):過形成もしくは変化不全、内出血、発赤、熱感、痒み、痛み、だるさ、乾燥、発熱、施術箇所の違和感、異物感、鈍さ、しびれ、ひきつれ、凹凸、色素沈着など。
施術の価格:380,000円
目の下のたるみ、目の下のくま症例写真10
施術名:結膜脱脂+GF成長因子注射
施術の説明:突出した下部眼窩脂肪を切除+皮膚のコラーゲンを増殖させる。
施術の副作用(リスク):過形成もしくは変化不全、内出血、発赤、熱感、痒み、痛み、だるさ、乾燥、発熱、施術箇所の違和感、異物感、鈍さ、しびれ、ひきつれ、凹凸、色素沈着など。
施術の価格:380,000円